由于成像质量好,空间分辨率高,计算机断层成像(computed tomography, CT)已成为一种广泛使用的医疗检查和辅助诊断方法。然而患者吸收的越来越高的X射线辐射剂量可能导致某些基因疾病,对身体健康造成极大的隐患。因此CT扫描设备的设计需要考虑降低辐射剂量的问题,减少探测器采集的投影数据是一个降低剂量的有效方法。这种方法形成的不完全投影数据在利用传统解析算法(比如滤波反投影算法)进行重建时,由于采样率无法满足香浓柰奎斯特采样定理的要求,重建图像中会有严重的混叠伪影,极大地影响了成像质量。
源于2006年提出的压缩感知(compressed sensing)理论,字典学习方法利用医学图像中的稀疏先验信息,能够有效地求解这一类不完全投影数据的重建问题,在滤除重建图像中噪声的同时,能够高质量还原图像中的细节信息。然而,重建算法中的关键参数——正则化参数的确定并没有系统的选取准则,利用经验选取的方法需要通过大量重复的测试选取合理的参数,耗时长且效率低下。
最近,中国科学院苏州生物医学工程技术研究所医学影像室郑健课题组的章程等人提出了一种利用CT投影数据自动确定正则化参数的函数模型。利用投影数据在正则化参数无穷大的情形下得到的重建图像,计算出能够反映投影数据噪声水平和待重建图像结构特征的参数,将其与经验选取的正则化参数利用函数拟合的方法得到正则化参数选取模型。
实验结果表明,正则化参数选取模型具有比较高的准确性,与模型选取的参数相比,较小的参数会使重建图像产生条形伪影和较高的噪声水平,较大的参数会使重建图像信噪比和空间分辨率降低。与其他对比算法的比较结果表明,文中提出的算法能够求解不完全投影数据的CT图像重建问题,重建图像的质量也有一定的提高。新型的高质量重建算法的研究对未来低剂量CT的研制有着重要的意义。
以上研究得到国家自然科学基金(批准号:61201117,61301042)、江苏省自然科学基金(批准号:BK2012189)和苏州科技项目(批准号:ZXY2013001)的支持,相关结果发表在Computational and Mathematical Methods in Medicine 杂志2015年度期刊。
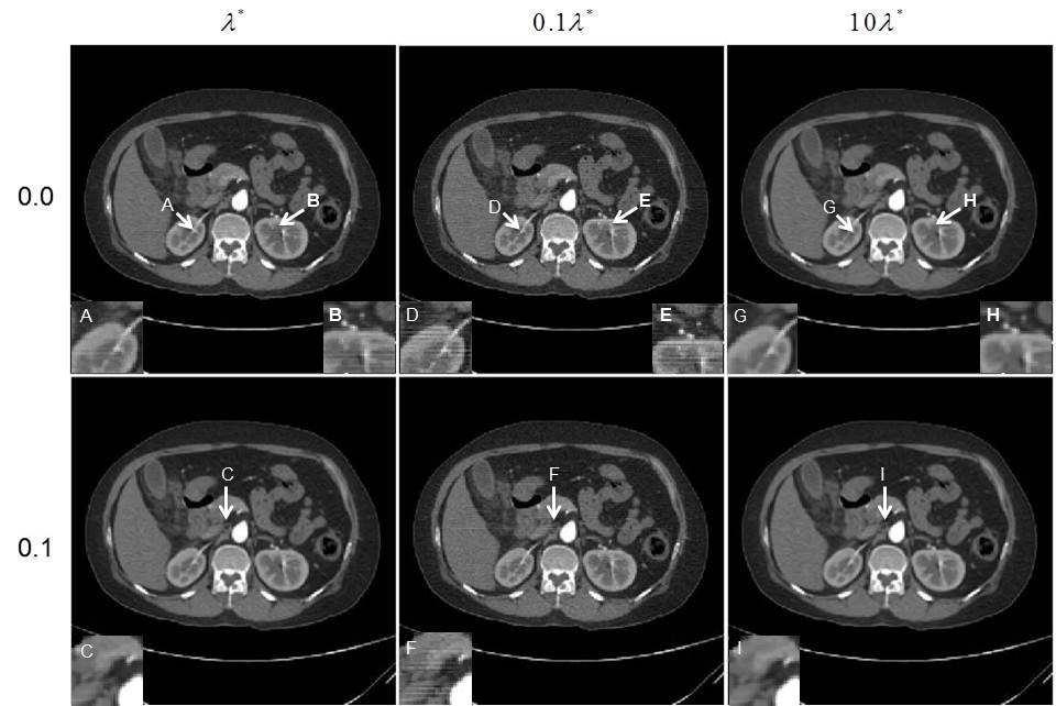
图1. 正则化参数选取模型有效性和准确性验证。第一列是利用选取模型得到正则化参数的重建结果,第二列和第三列分别取该参数的0.1倍和10倍。第一、二行分别为无噪声投影数据以及加入0.1%高斯噪声的投影数据的重建结果。结果表明参数选取过小(0.1倍,第二列结果)会使重建图像产生条形伪影和较高的噪声水平,参数选取过大(10倍,第三列结果)会使重建图像信噪比和空间分辨率降低。
图2. 字典学习重建算法与对比算法重建结果比较。第四列是本文提出的算法重建结果,一到三列为对比算法,分别为SART算法、GPBB算法以及经验选取正则化参数的传统字典学习算法。第一到三行分别为无噪声投影数据以及加入0.1%、0.2%高斯噪声的投影数据的重建结果。由该图可以看到,本文提出的算法重建图像的空间分辨率和图像质量高于SART和GPBB算法,与传统字典学习算法相当,说明正则化参数选取模型的准确性以及字典学习重建算法的优越性。
编辑:叶瑞优
新闻来源:http://www.cas.cn/syky/201603/t20160302_4541375.shtml











留言