(本文由中国数字科技馆根据2015年度“中国生命科学领域十大进展”报告中宋保亮教授现场报告内容整理,未经许可请勿转载)
背景介绍:中国科协生命科学学会联合体秉承公平、公正、公开的原则组织开展2015年度“中国生命科学领域十大进展”的评审工作,参选项目主要是2015年度在国内或以国内工作为主完成并公开发表的研究成果。最终入选的十项成果不仅代表了中国生命科学领域在2015年取得的重大进展, 也是世界生命科学领域的重要成果。
宋保亮教授研究团队获奖项目:细胞内胆固醇运输的新机制。
l 从一张验血单说起
验血是体检的常规项目,一张验血单里,有以下这几项指标是反映我们血脂水平的,总胆固醇、甘油三酯、高密度脂蛋白胆固醇和低密度脂蛋白胆固醇。你能看懂验血单里的这些数据吗?你知道什么是好胆固醇什么是坏胆固醇吗?这些指标又与那些疾病息息相关呢?
血脂组成成分
l 高甘油三酯的危害
甘油三酯是血液中的一种脂肪类物质,大部分是从饮食中获得的。高甘油三酯有可能引起肥胖、胰岛素抵抗、糖尿病等。
l 高胆固醇的危害
胆固醇主要来自人体自身的合成,食物中的胆固醇是次要补充。高胆固醇有可能引起高胆固醇血症、动脉粥样硬化、胆结石等疾病。
l 天使与恶魔?好胆固醇,坏胆固醇?
血管中的胆固醇不是存在在高密度脂蛋白中,就是低密度脂蛋白中。其中,HDL-C高密度脂蛋白胆固醇被称为“好胆固醇”,LDL-C低密度脂蛋白胆固醇被称为“坏胆固醇”。如果“好胆固醇”偏高对我们的健康是有保护作用的,而“坏胆固醇”越高则越有可能导致相关疾病发生,因此“坏胆固醇”——低密度脂蛋白胆固醇指标也是我们需要重点关注的。
血浆中的胆固醇
l 什么是低密度脂蛋白胆固醇(LDL)胆固醇是一种脂分子,由于脂分子是疏水的,而血液是亲水的,因此,胆固醇在我们的血液里是以小球方式运输的。小球外层是亲水的磷脂,内层是疏水的核心部分,外面缠有载体蛋白,有了载体蛋白就有了一个信号,在运输的过程中我们的机体才能对它进行识别。
如果血液中LDL-C浓度升高,它将沉积于心脑等部位血管的动脉壁内,逐渐形成动脉粥样硬化性斑块,血管腔就会越来越狭窄,爬楼梯时有可能因为心脏供血不足而气喘吁吁。一旦斑块破裂,形成了血栓,堵住血管,就有可能引发心肌梗塞、脑溢血、中风等疾病。同时,在胆汁里也有很多胆固醇,如果在胆汁里析出就会造成胆结石。1816年,胆固醇最早是在胆结石里被鉴定出来的。
低密度脂蛋白正常值范围:1.7--3.12mmol/L。
l 胆固醇都是坏的吗?如果胆固醇都是不好的,我们的人体为什么要制造它?
说了这么多高胆固醇的危害,那么胆固醇是不是都是不好的呢?其实,胆固醇不仅不都是坏的,还是人体中不可取少的重要角色。首先,胆固醇的主要功能是在细胞膜上调节膜的基本性质。不仅是人类,其他的动植物也有类似胆固醇的物质在细胞膜上调节它的性质,只有这样细胞才能有正常的生命活动。另外,人体还利用胆固醇来合成胆汁酸,胆汁酸从胆囊分泌到肠道中,把食物中脂溶性的物质乳化,肠道才能把它吸收。比如一些脂溶性的营养物质,像脂肪酸、脂溶性维生素等。如果把小白鼠的胆汁酸合成功能去掉的话,它将无法摄取营养,一出生就会死掉。此外,人体还用胆固醇作为原料来合成一些维生素和一些甾醇类激素,比如雌激素、雄激素等。
l 人体胆固醇来源和去向
对一个个体来说,我们的身体里总共有约100多克的胆固醇,这些胆固醇会随着每天的新陈代谢而变化。我们每天在食物中摄取的胆固醇大概300-500mg,由肝脏合成的胆固醇约600-900mg,很多胆固醇随着胆汁排出去了或者被转变为胆汁酸。
l 细胞如何获取胆固醇
低密度脂蛋白胆固醇在细胞内的运输过程。
肝脏分泌了LDL低密度脂蛋白胆固醇,它以颗粒的形式在血液中运输,共全身细胞使用。在细胞膜表面存在LDL受体,受体可以特异性地结合LDL小球把它内吞进来,运送到细胞中的溶酶体里。溶酶体是细胞的垃圾场,它的酸性环境可以将胆固醇酯水解,释放出胆固醇,再运送到机体各个部分的细胞膜上,供细胞正常的生命活动需要。
LDL受体是控制胆固醇水平非常重要的蛋白,如果内吞多一点,血液中的LDL就会少一点,人体就比较不容易换上相关疾病。
低密度脂蛋白胆固醇在细胞内的运输LDL受体
l LDL受体是如何被发现的
1985年美国Joseph L. Goldstein和Michael S. Brown博士因发现细胞表面存在LDL受体,获得诺贝尔奖。
当儿童的LDL受体发生了突变,血脂是正常人的8-10倍,皮肤上会出现黄瘤,在十几岁的时候就会换上心脏病而去世。LDL受体就是通过这些临床表现与实验发现的。
l 蒙娜丽莎微笑之谜?
意大利帕勒莫大学的病理解剖学教授弗兰克,研究认为蒙娜丽莎饮食不健康,患有高胆固醇症。
正是眼部的脂肪瘤,造成了蒙娜丽莎这副神秘莫测的表情。画中的她(或者说达芬奇的这个模特)正在为自己体内过高的胆固醇而担忧。
l 降胆固醇药物
他汀类药物在我国的成年人中,平均每5-10个人中就有一个人要服用降胆固醇的药物,因此,降胆固醇的药物在临床上使用是最广泛的,药品销售额也长期处于第一位。他汀类药物通过抑制胆固醇的合成来降低内源性胆固醇,内源性胆固醇降低后,细胞胆固醇受体的表达相应地就会升高,会更多地把血液中的胆固醇内吞进来,血液里胆固醇低了,动脉粥样硬化、冠心病的发生就会减少。
l 胆固醇运输的异常还会导致哪些疾病
尼曼皮克C疾病:尼曼皮克C疾病是一种常染色体隐性遗传疾病,发病于儿童。患者临床表现为肝脾肿大,进行性神经系统病变。由于患者的细胞内有大量胆固醇堆积,会导致细胞死亡,最先死亡的是神经细胞,临床表现为智力障碍,行动障碍等,通常在青春期前就会去世。
l 胆固醇运输与尼曼皮克C疾病
尼曼皮克C疾病与两个基因的突变有关,这两个基因分别是NPC1和NPC2。在胆固醇运送到溶酶体后,NPC1和NPC2就会起作用,完成胆固醇的运输。如果这两个基因发生了突变,胆固醇将无法运出,而堆积在溶酶体中,引起尼曼皮克C疾病。
l 胆固醇如何从溶酶体运出过氧化物酶体
刚才我们提到了低密度脂蛋白胆固醇在细胞内的运输过程,那么,胆固醇是如何离开溶酶体的?又是如何运输的呢?这就涉及到了另外一个细胞器,过氧化物酶体。
我们过去叫它过氧化物酶体是因为这种细胞器中有氧化酶,它的作用主要是将过氧化氢水解,来保护细胞。但是我们在去年发现,过氧化氢酶除此之外,还与胆固醇的运输有着重要的联系。
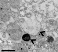
通过电子显微镜,我们发现过氧化物酶体和溶酶体有膜的接触,并且是一种动态接触。经过实验证明,溶酶体里的胆固醇可以通过与过氧化物酶体膜的接触将胆固醇运送出来,细胞里的胆固醇才能正常运输。很多跟过氧化物酶体相关的疾病背后都有胆固醇运输的问题,在临床表现的背后,其实是胆固醇运输的原因。
溶酶体过氧化物酶体接触
溶酶体与过氧化物酶体接触介导胆固醇运输
l 上帝住在溶酶体,亚当住在过氧化物酶体
或许这幅世界名画可以帮你更好地搞懂溶酶体和过氧化物媒体之间的关系。“创造亚当”这幅画是米开朗基罗的代表作之一,在圣经故事中,上帝创造了亚当,但他只有躯体而没有灵魂,画中描述了上帝通过手指传递给亚当灵魂的场景。就好比上帝住在溶酶体里,而亚当住在过氧化物酶体里,而上帝将胆固醇通过手指传递给了亚当。
“The Creation of Adam” by Michelangelo
(本文由中国数字科技馆根据2015年度“中国生命科学领域十大进展”报告中宋保亮教授现场报告内容整理,未经许可请勿转载)




























京公网安备11010502039775号


