导言:我们身上的大多数皮肤肿块如痣、脂溢性角化、囊肿、血管瘤、皮肤纤维瘤和脂肪瘤,都是良性的,但是如果出现了新的皮肤病变,或者已有的肿块开始长大或变色等,你就应该尽快去看医生了。
关键词:皮肤损害,皮肤肿块,黑素瘤
随着我们的年龄增长,幼年时期的光滑皮肤上开始长出各种各样莫名其妙的肿块和隆起物。生活在一个像澳大利亚这样的高紫外线照射的环境中,我们需要时刻警惕患上皮肤癌的可能。但是我们身上长的大多数皮肤肿块都是良性的。我们将在下文介绍一些最常见的皮肤肿块,以及如何区分它们。
痣
痣(moles或者naevi)是最常见的皮肤损害。它们由一群黑素细胞(皮肤的色素生成细胞)组成。它们可能是褐色、黑色、粉红色、和周围皮肤一样的颜色,如果黑素细胞在皮肤真皮(内部)层聚集生长的话,它们甚至可能是蓝色的。大多数痣是扁平的,但是也有凸起的。
尽管一些人在出生时就有痣,但是痣一般在童年时期才开始出现,并且持续生长直到你40多岁,这时它们又开始慢慢地消失。你身上的痣的数量部分由基因控制,但是也会受到你所处环境的影响。大量暴露在阳光下会导致更多的痣的产生,某些药物也会引起痣的产生,比如那些抑制免疫系统的药物。
痣本身是无害的,但是大约25%的黑素瘤是在既有的痣中产生的。很多的黑素瘤在早期阶段都很像痣。
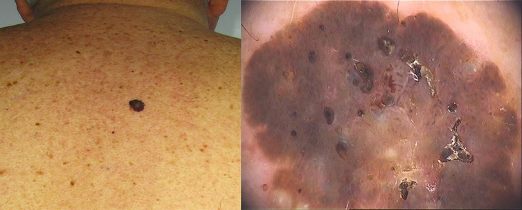
当出现任何新的或者发生变化的痣的时候,找医生检查是个好办法,医生通常会用皮肤镜(一种利用偏振光在皮肤表面进行观察的手持显微镜)对痣进行检查。如果病变是不均质的、多色的,或者有其他黑素瘤的症状,那么医生将切除它以便进行后续检测。

皮肤镜能帮助医生观察你的痣究竟是隐藏了黑素瘤迹象,还是说否并没有什么好担心的。图片来源:昆士兰大学
身上长有很多痣是高黑素瘤风险的最有力的预示,所以我们常常劝告长有很多痣的人去找皮肤科医生做定期皮肤检查。对于其他人来说,我们建议他们做自我检查。
脂溢性角化
脂溢性角化是另一种常见的良性皮肤损害,有时被不雅的称为老年疣或“藤壶”。人们认为它们是正常皮肤老化过程的一部分。
这些像疣一样生长在皮肤上的肿块会在你三四十岁的时候开始出现。到了60岁的时候,大约90%的人将有至少一个脂溢性角化。它们可能在一次晒伤或者一场皮肤炎之后突然爆发,也可能没有明显原因地逐渐出现。
如果有很多发痒的脂溢性角化突然爆发,这有时是内部癌症的一个征兆。偶尔,基底或鳞状细胞癌会在一个已有的脂溢性角化中出现。脂溢性角化本身是无害的,但是它们可能会大量产生——一些人有几百个——而且它们的数量会随着人们年龄的增长而增多。

一些人会长很多脂溢性角化,有大的也有小的。图片来源:昆士兰大学
脂溢性角化可能是扁平的也可能是凸起的,而且它们通常看起来像是粘在皮肤上的而不是从皮肤上长出来的。它们的颜色多样,从浅黄到黑色都有。它们可能是蜡状的、疣状的或者鳞状的,大小从1毫米到几厘米。
那些又黑又大的脂溢性角化可能看起来令人担忧,但是当医生在皮肤镜下观察时,它们通常呈现出特有的大脑或者山龙眼一样的外观,而且很容易与皮肤癌区分开来。如果不能确定,你的医生会取活组织切片来进一步检查,因为黑素瘤偶尔会冒充成脂溢性角化。
如果脂溢性角化挂在衣服上或者妨碍了你的剃刀,那么他们可能会很讨人厌,而且有些人认为它们很难看。假如是这样的话,人们可以通过冷冻、切除、灼烧、激光手术、化学剥皮或者用手术刀或剪刀切除来清除它们。

这个病变乍看很吓人,但是在皮肤镜下它显然是像山龙眼的样子,也就是说它是个良性的脂溢性角化。图片来源:昆士兰大学
囊肿
囊肿是一种圆形的病变,由充满了角蛋白(组成我们皮肤外层的结构物质)、皮脂(来自于我们皮肤的油脂)、液体或脓状物质的囊包构成。它们摸起来是硬的或者湿软的,而且它们完全是良性的。至少有20%的成年人在他们一生中会长某种形式的囊肿。
有时,囊肿形成于受伤的皮肤皱缩后形成的“口袋”中,成熟和死亡的皮肤细胞就在里面积累起来。其他囊肿则在表皮细胞(通常位于皮肤表面)在更深的真皮层中增殖的时候形成,它们也以类似的方式填满囊包。
一些囊肿形成于毛囊、汗管或者粘液腺阻塞的时候,液体就在堵塞的地方积累起来。腱鞘囊肿关节附近的液体渗漏入皮肤下面的囊包中的时候形成。一些基因会让你更容易形成各种各样的囊肿。

一个发炎的表皮包涵囊肿。图片来源:Steven Fruitsmaak/Wikimedia Commons
囊肿中的物质包括从水样到软奶酪样的物质,他们可能是没有气味的也可能是发臭的。囊肿中心处也许会有一个肉眼可见的孔,但是谨防尝试自己去挤干囊肿——如果你没有充分地清洗干净,就可能被感染。
通常,永久去除囊肿的唯一办法就是手术移除它的囊包壁。如果只是排干液体,那么它将会再次填满囊包。
幸运的是,皮肤科医生通常只需要一点局部麻醉及简单的几步就能移除囊肿。这在“疙瘩爆破博士”(参考:“挤痘大师”)的奇怪的流行视频中有所演示(顺便说一句,你不会想在午餐时间观看)。
血管瘤
血管瘤是另一种良性的皮肤损害,通常是无痛的,由皮肤中过度生长的血管形成。它们通常是硬肿块,并表现为樱桃状血管瘤、静脉扩张或蜘蛛痣。根据它们在皮肤中所处的不同深度,它们可能是红色、紫色,甚至是深蓝色的。

作者收集的樱桃状血管瘤。图片来源:Glen Wimberley/昆士兰大学
樱桃状血管瘤是一些圆形或椭圆形、边界清楚、鲜红色的隆起物,它们通常不到半公分宽。长在嘴唇上的樱桃状血管瘤被称为静脉扩张。
蜘蛛痣也有一个极小的中心红肿块,但是还有一些像蜘蛛腿一样向外蜿蜒出来的红线(毛细血管)。它们通常出现在脸部及上半身。
如果你身上有很多蜘蛛痣突然出现,那么这可能是高雌激素或肝功能不良的征兆,但是一般来说,单独的蜘蛛痣并不会对你造成困扰。
类似血管瘤的无黑色素(无色素的)结节性黑素瘤是很罕见的。医生需要切除它们以进行进一步检测。
其他血管瘤并不需要治疗,除非是为了美容。那样的话,可以用液氮冷冻、电外科手术灼烧或者激光治疗来去除。
皮肤纤维瘤
皮肤纤维瘤是一些硬的小结节,有时会发痒,而且可能会被误认为是蚊虫的叮咬。实际上,它们很可能也的确来自于某些类型的蚊虫叮咬。
它们通常有1厘米宽或者更小些,看起来像是长在皮肤的表层,如果你挤压它们,则会在里面出现一个窝。在白皮肤上,它们的颜色在粉红到浅褐色间变化;在深色皮肤上,它们的颜色呈深褐色到黑色,且中间部位的颜色会浅一些。

皮肤纤维瘤。图片来源:Glen Wimberley/昆士兰大学
它们由成纤维细胞(结缔组织中的主要细胞)的良性增殖引起,这种增殖也许是对某个轻度皮肤损伤做出的应答,但这为什么会发生还不清楚。免疫系统似乎对他们有所控制,因为当一个人的免疫系统受抑制时,一些新的皮肤纤维瘤就会出现。
就像脂溢性角化一样,皮肤纤维瘤是无害的但是会很讨人厌。在这种情况下,人们可以通过简单的手术切除来清除它们。如果它们溃烂了、近来变大了,或者出现了不寻常的颜色,那么医生会切除它们来检查是否是黑素瘤或基底细胞癌。
脂肪瘤
严格地说,脂肪瘤根本就不是一种皮肤损害。脂肪瘤通常长得像囊肿一样,但是实际上它们是一些被纤维囊包围的生长缓慢的脂肪细胞的肿瘤。它们其实并不长在皮肤上,而是在皮肤下面的皮下层。

背部的两个大脂肪瘤。图片来源:James Heilman, MD
像囊肿一样,它们非常常见而且不是恶性的。很多有脂肪瘤的人都有脂肪瘤家族史,所以脂肪瘤可能是有遗传原因的。一些脂肪瘤可能是在该部位受到钝伤之后出现的,但是导致脂肪瘤发生的机制还并没有完全被人们所了解。
鸡蛋或圆顶状的脂肪瘤通常摸起来有弹性,而且能在皮肤下随意四处运动。这使医生很容易在临床上诊断它们,尽管医生有时会做一个深度皮肤活体组织检查来确保无疑。
大多数脂肪瘤摸起来都不痛,但是它们能长到10厘米大,而且会限制附近肌肉或关节的运动。如果是那样的话,或者你为它的外观所困扰的话,脂肪瘤可以通过手术移除整个肿瘤得以治疗,还可以通过抽脂术抽干内部的脂肪细胞,或者简单的挤压法(医生在皮肤上切开一个小口并挤出脂肪组织)来治疗。
什么时候去检查
你皮肤上的任何令你感到担忧的肿块、隆起物或者病变,都值得去找医生看一看,但是有一些危险信号出现时,需要你尽早去预约医生,宜早不宜迟。
这些信号包括以下情况:出现了新的痣或者已有的痣开始生长或变色时。如果伤口变很容易出血——一碰就流血——尽快去做检查。有疼痛感的肿块是另一个“情况不妙”的征兆。
作者简介:H. Peter Soyer是昆士兰大学皮肤病学教授;Katie Lee是昆士兰大学研究协调员和研究助理;
H. Peter Soyer受到国家卫生与医学研究委员会(NHMRC)和澳大利亚研究委员会(ARC)的基金支持。Katie Lee不为任何可能从此文章中获利的公司或机构工作,不为其提供咨询服务,也不持有其股份或接受其经费,并且已公开声明,除具有昆士兰大学的学术职位外,与上述任何公司或机构皆无关联。
(翻译:郭晓;审校:海带丝)








京公网安备11010502039775号


