
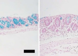
经异体骨髓移植(右图)后,小鼠大肠中杯状细胞(蓝色)的数量与同体对照组(左图)相比明显减少。图片来源:Takahide Ara et al., Science Translational Medicine, July 1, 2020.
同种异体干细胞移植能导致大量的保护性杯状细胞从大肠内侧脱落,其后果是致命的。但只要预先强化杯状细胞就可以改善这种后果。
经干细胞移植后,大肠细胞的明显脱落会导致细菌入侵肠黏膜,影响患者预后。而在移植之前向杯状细胞注射生长因子就可以改善这种后果。这项成果由北海道大学的研究人员完成,发表在《科学转化医学》(Science Translational Medicine)杂志上。
同种异体造血干细胞移植通过将正常捐赠者的免疫和造血干细胞系统移植给病人,来治疗白血病和淋巴瘤等血液病。然而,一些接受移植的病人也会发展出自身免疫介导的“移植物抗宿主病”(graft-versus-host-disease)。这种病对一些人是致命的,因而限制了其在治疗中的广泛应用。
北海道大学的血液病学家Daigo Hashimoto, Takanori Teshima和同事想要从细胞层面了解小肠在患移植物抗宿主病时发生了什么。
通过一些小鼠实验,他们发现,同种异体造血干细胞移植能导致结肠内壁的一种叫杯状细胞的上皮细胞数量显著减少。这些细胞可以通过形成保护性黏膜层来防止肠道中细菌入侵肠组织和血流。而干细胞移植后的成熟杯状细胞减少会破坏其形成的黏膜层,导致细菌入侵肠组织。

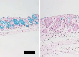
正常小鼠的内侧黏膜层(左图箭头所示)在同种异体移植(右图)后明显变薄。并且可以观察到细菌对肠组织的入侵(右图箭头所示)。虚线表示内侧黏膜层和上皮细胞的边界。图片来源:Takahide Ara et al., Science Translational Medicine, July 1, 2020.
然而,科学家在移植的六天前向小鼠注射白介素25(IL-25,一种杯状细胞的生长因子)后,结肠中杯状细胞的数量显著增加。在注射了IL-25的小鼠中,同种异体干细胞移植后,入侵肠黏膜的细菌也明显减少。
更深入的研究显示,黏膜内的另一类结肠细胞会分泌一种叫Lypd8的抗菌分子,而患移植物抗宿主病、黏膜内层被破坏的小鼠并没有这些细胞。他们还发现, Lypd8是IL-25发挥保护作用的必要条件。“这些都表明,杯状细胞可以通过维护含有抗菌分子的黏膜来抑制细菌入侵。
研究人员随后观察了接受过此类移植的人类病人的结肠切片。其中患移植物抗宿主病的患者杯状细胞受损尤为明显,并且严重的杯状细胞损伤与移植后的低存活率相关。
图片来源:Pixaby
“我们发现,肠道杯状细胞可以维护含抗菌分子的黏膜层,以避免肠道细菌的入侵。因此,使用IL-25来保护病人的杯状细胞将是对付同种异体造血干细胞移植后的移植物抗宿主病的有效策略。”Daigo Hashimoto说。“用非侵入性的方法对杯状细胞计数,比如共聚焦激光显微内镜,也可用于诊断和控制移植物抗宿主病。” Takanori Teshima补充道。
翻译:卢大山
审校:巢栩嘉
引进来源:北海道大学