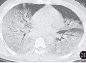
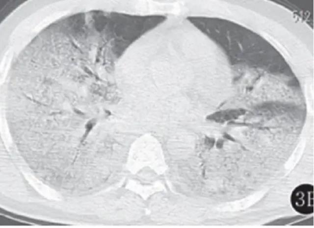
解放军总医院第五医学中心(302医院)王福生院士团队,近期于《柳叶刀·呼吸医学》期刊上发表了首份新冠肺炎逝者病理报告,这项病理分析不是来自完整的尸检,而是通过对一位新冠肺炎逝者进行微创病理检查获得的。团队人员对患者的肺、肝和心脏进行了组织样本检测。
其中,肺部组织学检测显示,患者肺部表现为弥漫性肺泡损伤和肺透明膜形成,肺部总体病理特征与SARS、中东呼吸综合征(MERS)相似。

(图片来源:腾讯看点视频截图)
对于SARS,很多人还是记忆犹新。虽然时隔十来年,但是SARS后遗症一直都在侵袭着那些曾经患过SARS的人群。其中,常见的一个后遗症就是肺部纤维化。
SARS会导致非常严重的肺部炎症,引起呼吸困难、纤维化,最终造成肺衰竭。
当年在SARS结束后,钟南山在采访中指出,有7%-8%的非典康复者有较明显的肺纤维化表现,存在肺功能障碍,其余90%以上者身体均基本康复。

▲SARS患者的"白肺"(图片来自网络)
肺纤维化是肺脏受到伤害后,人体修复产生的结果。倘若正常人的肺是"嫩丝瓜",那么纤维化的肺就像干透了的丝瓜一样,整个肺会变得像木头般没有弹性,呼吸功能明显减弱,严重者各种肺部组织几乎坏死,最终不能自主呼吸而死亡。
研究者发现,有一种对病毒复制很重要的SARS病毒蛋白质能加重肺部纤维化。学者们在肺细胞中检测了一种SARS病毒蛋白质,这是一种核衣壳蛋白(与病毒遗传物质结合的蛋白质),它能与一种名为Smad3的细胞蛋白质相结合,从而完成两项任务:一是启动细胞自毁,延长病毒复制的时间;二是激活一条独立信号通路,促进胶原和纤溶酶原蛋白抑制剂(PAI-1)的生成,这种抑制剂能破坏非细胞物质以及其他体内结构并导致肺部纤维化。
人类的存活力很强,即使切掉一个肺还可以继续活下去,所以,有的身强力壮的患者可以勉强抗住SARS病毒。但这种存活是短暂的,SARS病毒的短期增殖会导致宿主肺部的长期损坏,他们的肺部已经纤维化,随着年龄的增长,抵抗力下降,很容易发生肺部硬化而死亡。
但新冠肺炎有所不同,2月18日,在广东省人民政府举行的新闻发布会上,钟南山指出:"17年前SARS的时候,就通过遗体解剖说明了,肺本身病变情况以及肺以外全身脏器被破环的情况。"他同时透露,新冠肺炎患者肺的表现和SARS有点不一样。"并不像我们想象的严重纤维化,现在还没有结果,看起来有一部分肺泡还存在,但是炎症很厉害,有大量粘液。"他表示,进一步解剖会帮助我们认识这个病的特点,同时要特别注意让患者气道通畅,相关研究还正在进行中。
相比较而言,病毒对新冠肺炎患者的肺部还算"仁慈"一些。








京公网安备11010502039775号


