身体里为什么会有水

编译 七君
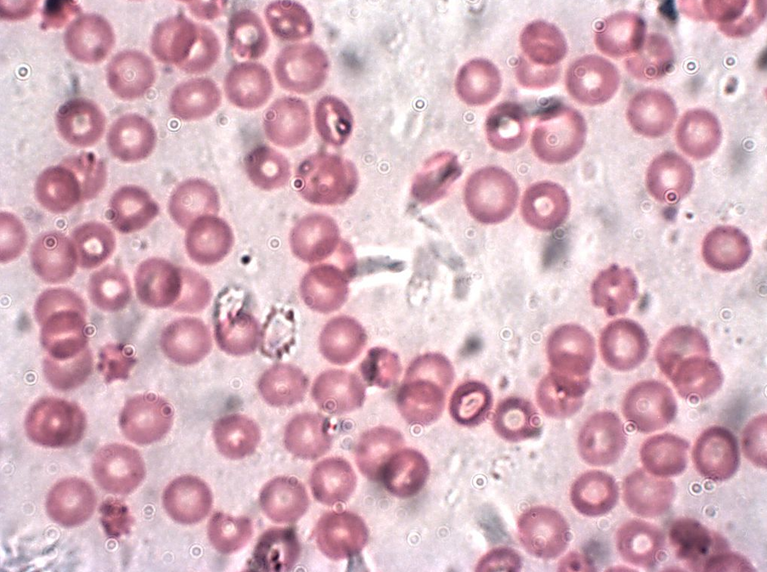
人类血红细胞 图片来源:Wikipedia
不管你信不信,我们身体里大部分成分都是水。但是很明显,我们的身体平时不会往外乱喷水、溅水。那么这些水一定是好好地保存在我们身体里咯?
没错。我们身体里的水分大部分都被储存在细胞里面。我们身体的60%都是水。
但是我们的身体并不是个死水潭。每天都有水分从我们的身体里进进出出。水分在我们的身体里起着意想不到的作用。
我们身体里的水可以运输养分,把食物带给细胞,给细胞提供能量。这些为细胞运输食物的管道就是血管,食物就在血液中。血液中的大部分自然就是水啊!
我们身体需要水分的第二个理由就是,水可以让细胞蓬蓬的,换句话说,水可以让细胞保持形状。你可以把没有水的细胞想象成一个瘪瘪的气球,灌入了水以后,气球就鼓起来了。水差不多就是通过这种方式让细胞有圆圆的形状,让你的小脸鼓鼓的。
我们身体需要水分的第三个理由就是,细胞里的各种化学反应需要水。不管是大脑里的细胞、肾脏里的细胞,还是身体其他部分的细胞,当它们吃东西或者运动的时候,都需要化学反应提供能量。当细胞和其他细胞交流沟通的时候,也是通过化学反应发生的。所以水是细胞必须依赖的东西。
水也能保护我们身体里的器官的健康。我们的大脑里70%都是水,我们的肺部90%也是水。
但这并不意味着,我们身体可以储存无限多的水。那如果身体里有了多余的水分怎么办呢?
首先就要靠肾脏出马了。我们的肾脏每天要处理大约190升的水,这里面都是你的身体不需要的多余水分。肾脏处理好之后,你猜你要去干嘛?你就需要去厕所尿尿了。
当然,通过呼气,我们也会排出一些水分,这些水主要是气体,也就是水蒸气啦。它们会和身体代谢的废物气体,比如二氧化碳一起被排出体外,飘到外面的世界里。
另外一种排出水分的方式就是出汗啦。做运动或者炎热的天气都会让你出汗,多余的水分就会通过汗液排出体外。当你出汗的时候,你身体的温度就会降下来。
当然啦,我们身体有时候也会特别需要水分,比如在你出了太多汗的时候。这个时候你的大脑就会发出信号,你会感到口渴,你就会想喝点什么。
所以你看,水对我们的身体来说是非常珍贵的东西。我们需要很多水分。对于地球来说也是这样的,地球也需要水分。地球虽然有许多海洋,但是淡水却不多。世界上有许多国家的人们连喝水都要小心翼翼、小口地喝,更别提用干净的水打水仗或者泡澡了。所以你要珍惜身边的水啊。









留言