导语:为了清新口气及改善口腔状况,许多人会选择不同种类和口味的口香糖。然而,口香糖真的有益于口腔健康么?口香糖对每个人都适用么?
关键词:口香糖;口腔健康
最新一项研究表明,无糖产品也能像糖类一样损坏你的牙齿,这是因为许多无糖产品含有的酸性物质会腐蚀牙齿。那么,无糖口香糖呢?
嚼口香糖对你的口腔健康可能非常有害,可能有益,也可能非常有益。这完全取决于你嚼的口香糖的种类。
如果你经常嚼含糖的口香糖,那么你就有患龋齿病的危险(蛀牙)。

如果你买的是薄荷口味,那么受欢迎的益达口香糖对你的牙齿还是有好处的。
图片来源:Nathan C835/Flickr, CC BY
但是,过去30年来的证据表明,如果你经常嚼无糖口香糖,你就会一直刺激唾液分泌,这对你的口腔健康是有益的。
唾液含有对牙齿健康很重要的矿物质,这些矿物质能够中和牙垢中的酸性物质,这些酸性物质供养引起龋齿的细菌。
公认的对口腔健康有潜在益处的传统无糖口香糖包括傲白无糖薄荷口香糖和益达无糖薄荷口香糖。
并非所有的口香糖都是一样的
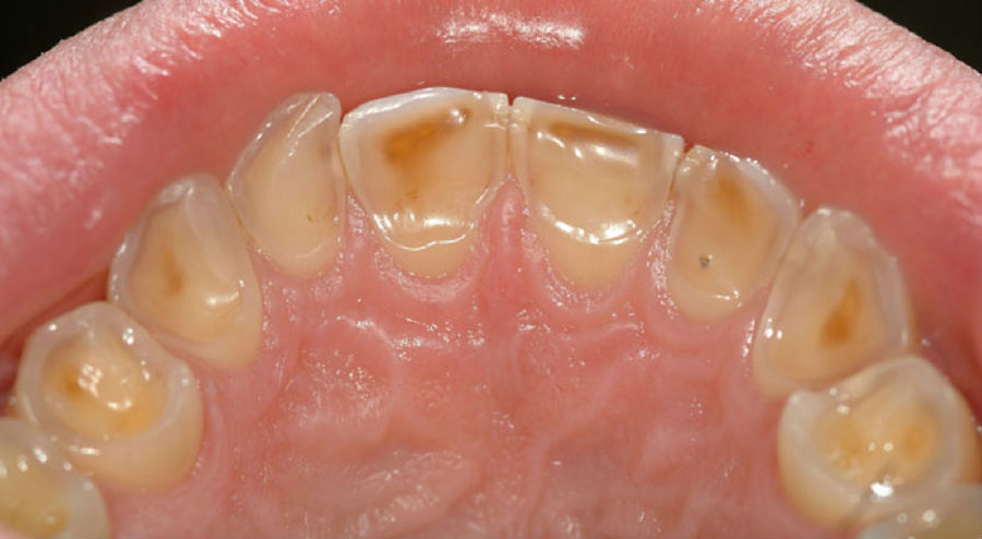
但是你要明白,如果你的无糖口香糖含有增加风味的食品酸味剂,那你可能就会患上牙侵蚀症。与龋齿不同,牙侵蚀症不是由糖类或者细菌引起的,而是会在酸性物质溶解牙齿硬组织时出现。
在牙侵蚀症的早期阶段,牙釉质表层会被侵蚀掉,而在后期阶段,就会使得较柔软的牙质甚至牙齿中央柔软的部分(牙髓)裸露出来。

一些含糖口香糖对牙齿有害。图片来源:The Impulsive Buy/Flickr, CC BY
(在牙侵蚀症的)早期阶段,牙侵蚀症会造成牙齿对冷食物敏感。如果发展下去,接下来可能会造成更严重的疼痛。并不是所有的无糖口香糖都包含食品酸味剂,通常来讲,相比其他口味的口香糖,薄荷味口香糖造成侵蚀的可能性要小些。

(牙侵蚀症)早期阶段
图片来源:作者提供
一些经常食用可能会造成侵蚀的口香糖品牌有:Woolworths柠檬+酸橙,Wrigley’s Berry Burst 及Glee Gum 柠檬+酸橙。

牙侵蚀症—由于酸侵蚀对牙齿造成的不可逆损伤。
图片来源:Geneva Dental Clinic, CC BY
口香糖的圣杯
口香糖是《澳大利亚食品标准法规》唯一许可的可以宣称对口腔健康有益的食品。在该法规下,制造商可以宣称口香糖有助于牙齿矿化以及中和牙垢中的酸性物质。这只是在口香糖不含糖并且在食用后30分钟内不会把牙垢 pH 值降到5.7以下的前提上。
澳大利亚和美国牙科协会都允许对无糖口香糖使用优质的密封胶,这符合澳大利亚食品标准相似的条件。
除了含糖及无糖口香糖,也有一些功能口香糖,其中增加了一些矿物质或者一些不仅能抵抗龋齿并且在某些情况下甚至能够修复龋齿早期受损阶段的成分。
一些口香糖,如 Trident Xtra, Recaldent 及 Trident White +Recaldent, 含有源自一种牛奶蛋白的补充矿物质的成分,即CPP-ACP(酪蛋白磷酸肽钙磷复合体)。

含有 Recaldent的口香糖对牙齿非常有好处,甚至能修复龋齿。
图片来源:Amazon.com
无数研究证实,该成分可以增加已经软化的牙釉质的硬度,并且保护牙齿免受龋齿及侵蚀症的伤害。
2008年,一项历时2年的临床试验发现,嚼含有CPP-ACP口香糖的人群,其牙齿表面龋损的数量较少。这些人群中,牙齿龋损处受到抑制或者重新矿化的数量较多。
最近关于CPP-ACP口香糖的效果的研究表明,该成分可能不仅能够补充牙齿的矿物质,而且还能减少口腔内有害细菌的水平。今年早些时候发表的一项研究表明,受试者连续三周每日嚼CPP-ACP口香糖,其唾液中链球菌(Streptococcus)突变体——与蛀牙有关的一种细菌——在统计学上呈现显著下降。
对于蛀牙高发人群,包括口腔卫生不合格以及唾液分泌受到药物或者健康状况影响的人,嚼无糖口香糖可能特别有用。但是,嚼口香糖绝对不应该替代每日用含氟牙膏刷牙、定期用牙线清洁牙齿以及牙医的检查。
对于正在经受下颌痛或颞下颌关节紊乱病(下颌及面部控制咬合的肌肉出现了问题)的人群,不推荐嚼口香糖。
但是对其他人来讲,如果你选对了口味和种类,嚼无糖口香糖是保持牙齿健康的很好的方法。
关于作者:
Mike Morgan,研究员,人口口腔健康主席及墨尔本大学墨尔本口腔健康学院院长。
Eric Reynolds,研究员,墨尔本大学墨尔本口腔健康学院,墨尔本口腔健康合作研究中心CEO。
本文观点仅代表作者,不代表《科学美国人》。
(翻译:万晓玲;审校:侯政坤)
原文链接[科学美国人博客]:
https://theconversation.com/health-check-is-chewing-gum-actually-good-for-your-teeth-51555









留言