现在的医院不再像过去一样进行那么多尸检了。许多医疗机构对于这种或使医生遭遇滑铁卢的事情持谨慎态度。大多数情况下,医疗保险和商业保险公司不予报销尸检费,这意味着必须由患者自己买单。除此之外,宗教信仰也让有些人不愿意进行尸检。
然而纵观医学史,医生和病理学家通过尸检更多地明白了如何去改进医疗技术。因此,一些病理学家尝试通过医学成像技术让“虚拟尸检”替代传统尸检。医生可以利用磁共振成像(MRI)和计算机断层扫描技术(CT)得到人体内部结构的精细图像,而不是拿起手术刀解剖尸体。迄今为止,结论复杂多样:虚拟尸检不可能完全取代传统尸检,但它们具有很多独特的优势。例如,虚拟尸检能直观地显示诸如子弹和弹片等嵌入机体后的轮廓,保护易损组织不受干扰,这消除了死因相关的证据遭到破坏的风险,也避免了宗教异议。
在随后的幻灯片中,您将看到来自瑞典医学图像科学与可视化中心(the Center for Medical ImageScience and Visualization ,CMIV)的Anders Persson和他的同事们运用CT,MRI和超声得到的令人惊叹的尸检图片。这些图片描绘了人体骨骼,消化道,循环系统和大脑以及野猪的前端结构。

1, 人体,侧身;骨骼和心血管系统清晰可见。

2,动物,头部;骨骼完整性清晰可见,特意用不同的颜色强调了牙齿。

3, 人体,正俯视;皮肤,皮下脂肪和多个器官清晰可见。

4, 人体,横切;骨骼,肌肉组织,器官和肺脏清晰可见。

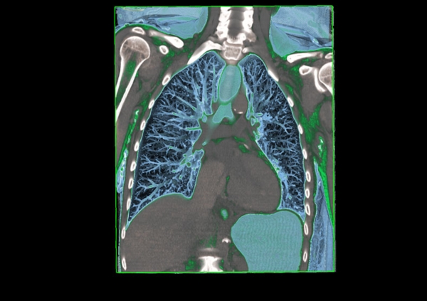
5, 人体,正俯视;肺内结构清晰可见。

6, 人体,正俯视;在有外物包裹的情况下探测内部组织。

7, 人体,正视;骨骼清晰可见。

8, 人体,侧切面;肩部以上血管的空间结构清晰可见。

9, 人体,头部,正视;骨骼清晰可见,头部手术留下的痕迹也清晰可见。

10,动物,横切;骨骼和脏器位置清晰可见。












