人口健康直接影响一个国家的经济发展和社会进步。我国2015年发布的肿瘤发病率统计年报表明,肺癌的发病率和死亡率仍然居恶性肿瘤首位,是癌症死亡的头号杀手。近年来,由于吸烟、空气污染、人口老龄化等多种因素,慢性阻塞性肺疾病、哮喘、尘肺等肺部疾病的发病率逐年上升,2013年世界卫生组织公布的全球疾病负担报告显示,下呼吸道感染、慢性阻塞性肺病以及肺癌均已排在我国人群死因的前十位,肺部疾病已经成为突出的公共医疗卫生问题。
目前,临床上用于肺部疾病检测的影像学技术包括胸透、计算机断层扫描(CT)和正电子发射计算机断层扫描(PET)等。一方面,这些技术的放射性对人体有一定伤害;另一方面,CT和PET成像技术都不能全面提供衡量肺部健康状态的重要指标——肺部气-气交换和气-血交换功能指标。虽然传统磁共振成像(MRI)技术无放射性伤害,但肺部是它的“盲区”。因为MRI技术的实现都是基于人体中水质子(1H)的信号,但肺部内多是气体和空腔组织,其水质子的浓度比正常组织低约1000倍,所以为了“点亮”肺部,必须获得信号增强大于数万倍的气体信号。目前还没有一种能无侵入、无辐射地对肺部气体交换功能可视化的临床成像设备,这极大地阻碍了对肺部重大疾病早期的深入研究。
中国科学院武汉物理与数学研究所是世界上最早从事气体增强磁共振的研究机构之一,有近30年的研究积累与研发经验。由该所研究员周欣领导的超灵敏磁共振研究团队是目前国内唯一开展超极化气体肺部MRI成像的研究组,其研究目的正是为了“点亮肺部”,即不仅获得肺部的结构信息,还对肺部气体交换功能进行可视化研究,从而开展人体肺部重大疾病的诊断前研究。
在基金委国家重大科研仪器设备研制专项“用于肺部重大疾病研究的磁共振成像系统研制”的资助下,在基金委医学部和中科院的大力支持下,科研人员使用级联激光光泵的核心技术,成功研制出了气体产率高、控制自动化、可移动式的129Xe气体极化装置,能够将原子核自旋的极化度增强倍数提高到44000倍以上。他们所研制新型的人体“马夹式”高灵敏肺部成像探头,提高了肺部气体磁共振信号的激发均匀性和接收效率。他们提出的化学位移交换翻转转移(CEIT)等序列,能够高效并定量获得肺部O2-CO2交换、O2-血液交换的动力学和影像学信息。目前,该团队已经获得了我国首幅活体超极化129Xe动物及人体磁共振影像。同时团队还利用该项技术对肺部的气血交换时间、气血交换膜厚度、肺泡表面体积比等参数进行了定量研究,并成功区分了健康及疾病模型。该项目的这些研究成果已经在磁共振医学的国际专业杂志上发表,并获得了国际同行专家的认可。近日,该研究小组已经开始了这项技术的临床前研究,通过与武汉大学中南医院吴光耀团队合作,获得了我国首例肺部病人(哮喘)的气体磁共振影像,相比传统CT检查,该技术能无侵入、无放射性地可视化肺部通气缺陷,从而为早期肺部疾病提供了全新的影像学技术。
超极化129Xe肺部磁共振成像技术突破了传统磁共振不能对肺部成像的限制,成功“点亮肺部”,该技术使用的超极化惰性气体129Xe安全无毒,良好的脂溶性和化学位移敏感性,使其在肺部气血交换功能探测上具有独特的优势,是对现有的肺部成像技术的有效补充,在肺部疾病早期检测方面具有极大的潜力。
肺部重大疾病的早期检测,不仅能够节约我国大量的卫生资源,更重要的是能够减轻病人精神和身体的痛苦,减轻慢性病对家庭及社会造成的巨大经济负担。然而,受限于超极化仪器的高技术门槛和检测费用,目前,超极化气体肺部MRI尚未应用于临床,但国内外医学界都已意识到这项技术的潜力,并正在开展相关临床前研究,以期进一步提高图像的分辨力,提高气体交换动力学研究技术,力争早日实现该项技术的临床应用。
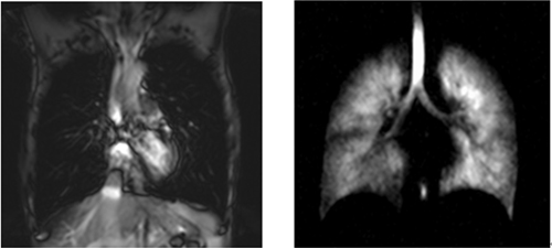
传统的人体质子肺部磁共振图像(左)及经过点亮之后的我国首幅人体超极化气体肺部磁共振影像(右)武汉物数所9月7日获得中国首例肺部病人的气体磁共振影像。
编辑:叶瑞优
新闻来源:http://www.cas.cn/syky/201509/t20150909_4422327.shtml











留言