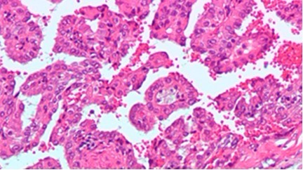
肾脏肿瘤,图片来自维基共享资源。
根据2012年3月8日发表在New England Journal of Medicine期刊上的一篇论文,研究人员追踪了肿瘤的进化树,从而发现肿瘤存在高度的遗传异质性,这有助于阐明为何个人化癌症治疗可能不是有效的。单次活组织检查(biopsy)将只能深入了解肿瘤内一个位点的突变,而有些突变导致肿瘤对不同治疗方法产生不同反应或预后结果,但是这些突变可能潜藏在肿瘤其他位点,这可能能够解释为何抗肿瘤疗法经常是先能够发挥抗肿瘤功能但是过一段时间后就失去疗效。
“我们在相当长的一段时间内认为肿瘤是癌细胞拼凑出来的,但是这是第一次我们能够使用前沿的基因组测序技术来极其精细地描绘出一个肿瘤的遗传全貌”,论文通讯作者和英国癌症研究中心/伦敦研究所肿瘤遗传学家Charles Swanton说。
Swanton和他的同事们追踪肿瘤基因组进化并研究人肾脏肿瘤的遗传异常性。研究人员在一个病人所患的原发性肾脏肿瘤的几个位点及其几个转移瘤中进行活组织检测,并发现鉴定出的突变当中只有34%在病人所有样品中都是一样的。随后,他们构建出一个原发性肿瘤和一个转移瘤的进化树,结果表明一个癌细胞系在病人身上产生转移瘤,而另一个主要的癌细胞系支持原发性肿瘤生长,这些暗示着基于原发性肿瘤的活组织检测结果进行针对性治疗可能并不能有效地治疗转移瘤。Swanto说,如果能够发现哪些突变在肿瘤内不同细胞之间以及在不同肿瘤之间是相同的,那么科学家可能能够设计出一个更加全面的治疗策略。(生物谷:towersimper编译)
新闻来源:http://www.bioon.com/biology/cancer/519622.shtml










留言