腾讯科学讯(悠悠/编译)据国外媒体报道,就细菌而言,其它存活的生物是它们另一个值得探索的生态系统,这意味着每一种动物和植物在生命历程中都伴随着存在一组细菌性病原体。这些细菌能够很好地适应寄居体内,期间细菌经常导致寄居体患病,或者有时会导致它们死亡,但它们两者之间是一种共生关系,细菌如果想更长时间地呆在寄居体内,就应该较小程度地损害寄居体。毕竟当细菌刚进入寄居体就导致它们死亡对于细菌而言是没有益处的。
图为一只弓背蚁,通常许多弓背蚁都感染沃尔巴克氏体属细菌
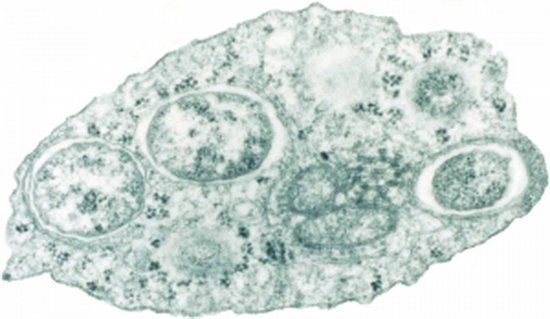
一个昆虫细胞的电子显微放大照片,可清晰地看到3个沃尔巴克氏体属细菌
本月《科学公共图书馆-病原体》期刊上一项最新研究阐述了一种细菌实例,它是沃尔巴克氏体属细菌,它们感染昆虫和其它节肢动物,科学家最新研究发现这种独特的细菌能够阻止昆虫生育雄性子嗣,因此只有雌性后代继承该细菌基因。
像母体遗传给后代一样,沃尔巴克氏体属细菌也可以平行传播,即在同一代昆虫之间传播感染。当这种细菌在正常寄居体内不会带来严重的损害,但是当它们转移到一种新的物种,将导致各种各样令人讨厌的神经系统并发症,有时也会导致死亡。很明显,当沃尔巴克氏体属细菌遇到新的寄居体是具有剧毒性。
事实上,沃尔巴克氏体属细菌在新物种体内具有较强危险性并不是因为该细菌在未探测生物体内无法控制,而是因为新的寄居体不知道如何处理。通常昆虫会形成一些策略对付这些细菌,或者只是容忍它们。然而对于新物种感染这种细菌,它们倾向于恐慌,尤其当这种细菌聚集在生殖腺和中枢神经系统,这使昆虫认为这些区域存在细菌是非常糟糕的。
新闻来源:http://tech.qq.com/a/20120907/000045.htm











留言