大脑扫描研究发现植物人仍可识别熟悉的面孔
美国杂志《新闻周刊》(Newsweek)近日发表题为《研究显示,昏迷的病人可以识别熟悉的面孔》的文章表示,即便处于植物人的状态,一些病人依然可以识别他们所熟悉的人的面孔。
在侵袭人体的多种疾病中,脑损伤是最具破坏性的,同时也是最令人感到困扰的一种疾病。当一个人患上了创伤性脑损伤并在它的作用下处于无法交流的状态中,医生们和他所爱的人都面临着医学中最为令人困惑的问题:我们如何知道他依旧在这里?而在何时躺在这里的人又仅仅只是一个躯干?
而这些问题也因为我们所得到的惊人消息而变得更加复杂,这个消息就是,有些处于植物人状态的病人,他们的大脑似乎可以认出熟悉的面孔。而(这一消息)带来的影响则是令人难以置信的。
脑死亡既是医学术语也是法律术语,并且,相当直白的说,意味着死亡。脑损伤的病人可能会在不稳定的状态中存活几个月,甚至几年的时间:她可能会像拥有正常周期那样睁开自己的眼睛,并且可能会睡眠并且醒来,但她却无法进行有意义的互动,并且丝毫不会意识到周围的情况——或是她自己的情况。这在医学界被称之为“持续性植物状态”,即使醒着也浑然不知。她不太可能会恢复,而一旦恢复,则是可能会面临着身体和神经方面的严重损伤。这并不是我们大多数人所认为的生活。
处于植物人状态的那些人为我们提出了一个基本的道德和伦理方面的问题,以及一个总会产生的激烈辩论:对于这样的病人,我们应该做多少以来让他们继续这样下去?近年来,这一争论有所加剧,而一些研究则发现了一些植物人患者的惊人例子:在某种程度上,他们似乎可以与他人交流。凯伦-赫希(Karen Hirsch)博士是斯坦福大学医学中心的神经专家和神经外科医生,她告诉《新闻周刊》:“我们了解到,也许他们中的有些人确实有一些意识。”
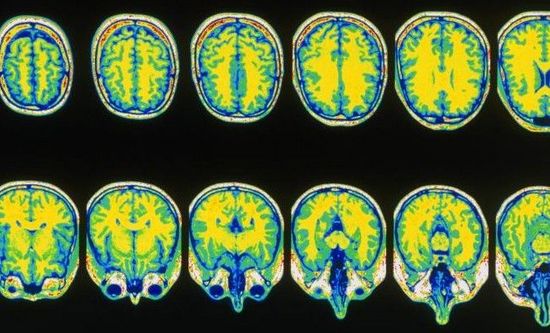
通过使用功能性磁共振成像(fMRI),在以色列特拉维夫的研究人员们会分别观察健康人以及植物人的大脑活动。首先,他们会展示出两组陌生人的照片,之后是熟悉面孔的照片。而处于植物状态患者们的大脑活动模式则会与健康受试者们的大脑模式进行比对。
这项研究在今年的早些时候发布了它的一些成果:来自剑桥大学的研究人员们表示,他们发现植物人不仅可以应对刺激,并且也可以直接用“是”或“否”对问题予以回应,而西方大学(加拿大)的一项研究也拥有与其类似的结果,这是一个里程碑式的研究。在几年前,英国和比利时的少量处于植物状态的病人也被“告知”将两个具体的场景形象化:一个是让他们打网球,而另一个场景则是在一个熟悉的地方走动。研究人员们表示,一个病人甚至能够使用这两个场景来类比为“是”和“否”。例如,当被问及“你父亲的名字是亚历山大吗?”,病人就能够设想出对应正确答案的那一个场景。
不过对于这些研究也存在着一些警告。来自剑桥的一项研究就发现,他们通过重复“是”和“否”5400次才能够得到来自病人大脑对于这些词汇的“注意”。而来自加拿大的一项研究的结果也与其相似:21名病人中只有1人才具有反应的能力。
因此,这两名(会做出反应的病人)或许只能算得上是数据上的异常值。赫希也表示:“坦率的来讲,大多数的病人都不具备这种潜在的功能。”
然而,功能性磁共振成像是一种准确的、可靠的测试,它可以告诉医生,病人大脑中的哪些区域是活跃的。但“活跃”实际上所代表的意义同样也有些模糊。“对于这些研究,我们应该持有乐观的态度,但是同时也需要谨慎行事。”赫希说。
换句话说,它可能只是一个原始的刺激反应。然而,所产生的影响却也是有趣的。跟踪大脑情感上的活化可以帮助研究者们发现,有哪些处于植物状态的患者可能拥有着最好的机会,以对帮助他们恢复的实验治疗有所反应。此外,“视觉,尤其是情感方面的视觉刺激,即使是对于那些遭受严重脑损伤而无法进行回应的患者来说,对于他们的大脑也可能是一种会予以刺激的‘火花’。”特拉维夫大学功能性脑部中心的研究员,同时也是这一研究的主要作者,哈盖-莎朗博士(Haggai Sharon)这样告诉《新闻周刊》。
进一步来看,这一方面的研究还有可能解决神经重症监护中最困难的问题之一,这一问题将生存还是死亡联系在了一起:那就是确定何时为这些处于植物状态的病人继续提供医疗护理,而在何时选择放手让他们离开人世。如果我们能有效的与病人交流,也许我们就可以简单的询问他是否想要活下去。然而,“要达到与病人沟通的这一地步,我们还有很长的一段路要走。”莎朗说。
与此同时,我们也不能依靠科学来做出这些决定。“重要的是,在谈及脑损伤和死亡以及临终之时,我们要抛弃掉所谓的禁忌和耻辱,而是要将其引入我们与自己所爱的人所进行的对话中心。”赫希说。
而这些研究还向我们表明的事情就是,那些在科学中定义了“生命”的参数,就像是在哲学和艺术中的那样,并不明确。(新华网)
新闻来源:http://life.kexue.com/2014/0110/37102.html










留言