
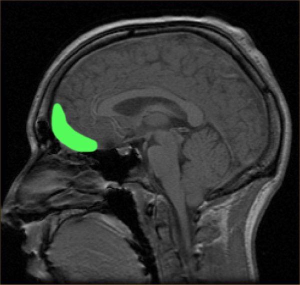
眶额皮层为图中绿色区域。图片来源:wikipedia
强迫症(Obsessive-compulsive disorder, OCD)的特点是具有重复且能引起焦虑的想法、冲动和欲望,如过度清洁、计数和检查。强迫症的行为在普通人群中也很常见:一项对美国成年人进行的大样本研究发现,超过四分之一的人在他们人生中的某个阶段经历过强迫症般的痴迷或冲动。虽然这些人中的大多数都没有发展成为真正的强迫症,但他们的症状仍然干扰了日常生活。而发表在《自然·医学》上的一项新研究表明,这些行为或许能通过用电流刺激大脑来缓解——而无须在颅骨下插入电极。
波士顿大学的神经科学家Robert Reinhart和他的团队采用了两条平行的研究路线来进行这项研究。首先,有证据表明,强迫行为可能是由过度学习习惯(这导致过度的重复)和参与奖赏学习的大脑回路异常共同导致的。另一方面,现有研究也指出高-β/低-γ范围(也被简称为β-γ)内的高频节律对于决策和从正反馈中学习的重要性。
根据之前观察的结果,Reinhart教授实验室的博士生Shrey Grover和团队中的其他人推测,操纵眶额皮层(orbitofrontal cortex, OFC)——位于大脑前部奖赏网络中的一个关键区域——的β-γ节律可能会扰乱个体反复选择追求奖赏的能力。研究人员认为,通过这种方式进行干预或许能减少个体与不良习惯相关的强迫行为。
为了检验这一假设,Grover和他的同事进行了两部分的研究。第一部分旨在确认高频大脑活动是否真的影响人们从奖赏中学习的能力。他们招募了60名志愿者,先使用脑电图来确定每个人眶额皮层活跃时β-γ节律的独特频率,其中,个体眶额皮层的激活是通过让其完成一项把符号与金钱输赢联系起来的任务来实现的。过去的研究表明,根据个体大脑中的特定节律模式来进行刺激可能会提高程序的有效性。

脑电设备。图片来源:pixabay
然后,他们将参与者分成三组,让所有的人都接受“经颅交流电刺激”(transcranial alternating current stimulation, tACS)。这是一种非侵入式的大脑刺激,研究者让其作用于参与者的眶额皮层,总共持续五天,每天30分钟。每一组接受的刺激类型都不同:第一组是基于个体不同的β-γ频率而调整的个性化电流;第二组是“主动”对照组,即一种较低频率的刺激;第三组则是“被动”对照组,即没有明显的电流会作用于他们的大脑。结果,那些接受个性化β-γ刺激的参与者变得不太能够在基于奖赏的学习任务上做出最佳选择,而在两个对照组中没有观察到这种变化。
研究者用基于奖赏的学习所对应的计算模型来进一步评估参与者的行为,发现个性化的经颅交流电刺激能够干扰学习过程,它让人们不只坚持一个选项,而是更可能去尝试不同的选项——即使这些选项不太可能导致奖励。
这些结果为研究的第二部分奠定了基础。在第二部分中,研究团队着手研究对出现在基于奖赏的学习过程中的β-γ节律的操纵是否会影响强迫行为。他们用另一批志愿者进行了类似的实验。这64名参与者并没有被诊断为强迫症,但具有如检查、囤积和痴迷等相关症状。参与者要么接受了个性化的β-γ刺激,要么接受了主动对照组的处理。结果,接受个性化β-γ刺激组的参与者的强迫行为明显减少,且持续了长达三个月的时间;那些在接受刺激前有更多强迫症特征的个体表现出的变化也更大。
Grover表示,团队决定研究有强迫症症状但没有得到障碍诊断的人,是因为研究者们看到了越来越多强迫行为从轻微到严重的人。且即使没有临床诊断为强迫症,这些症状同样会造成严重的困扰。“通过研究表现出一系列强迫行为的非临床人群,我们能够检验这种干预措施的有效性,这可能对更广泛的人群有帮助。”Grover说。然而,研究结果也表明,“如果我们将这种干预措施运用到被诊断为强迫症的个人或其他类型的强迫——如赌博障碍、成瘾、某种饮食障碍——我们可能会观察到显著的效果。”

极其频繁的洗手是一种强迫行为。图片来源:wikipedia
剑桥大学认知神经科学教授Trevor Robbins评价道,该研究对强迫行为的长效作用“令人印象非常深刻”,他没有参与这项研究。他认为,“对于强迫症这样的病症,神经调节确实是一种应该得到严谨研究的治疗方法。”
斯坦福大学的精神病学家兼神经科学家Carolyn Rodriguez也没有参与这项研究。她认为,因为该研究是在没有得到正式诊断的非临床人群中进行的,所以研究结果的影响和效用还有待观察。“从神经生物学上看,非临床但有强迫行为的人可能与被诊断为强迫症的个体并不相同。”她补充道,“这些发现是一个有趣的开始,但我们需要弄清它与强迫症患者的关联是什么。”Rodriguez还指出,目前已经有几种治疗方法可用于治疗强迫症,包括药物、心理治疗,还有经食品和药物管理局批准的设备——这种设备利用经颅磁刺激(transcranial magnetic stimulation ,TMS),一种使用磁场来刺激大脑的非侵入性方法来进行治疗。(Rodriguez目前正在领导一项经颅磁刺激治疗强迫症的临床试验。)
在过去的许多研究中,已经检测了经颅交流电刺激对记忆、食物渴望和其他神经过程的潜在治疗效果。然而,也有人怀疑这种方法是否切实地在大脑中造成了任何有意义的改变。在这个新的研究中,高频经颅交流电刺激究竟对大脑做了什么仍然是未知的。但Grover指出,研究人员的两个对照组条件,尤其是施加不同频率刺激的那一组,能够强有力地证明是高频刺激造成了他们观察到的行为效应。
目前,Grover和他的同事们正在进行进一步的实验以确定这种干预方式的作用机制。他们也希望在不久的将来能对被诊断为强迫症的临床人群进行研究。“最近发表的文章只是朝着深入理解为什么高频活动对强迫行为如此重要这一研究方向迈出了第一步,”Grover说,“既然我们现在能观察到这些症状的变化,也就是说我们的方法可能真的有临床效果——也让我们有更多的理由去尝试扩展这项研究的结果。”
撰文:戴安娜·权(Diana Kwon),一位自由记者,报道健康和生命科学,居住在柏林。
翻译:刘思洁
审校:费哲妮
引进来源:科学美国人

本文来自:中国数字科技馆
特别声明:本文转载仅仅是出于科普传播信息的需要,并不意味着代表本网站观点或证实其内容的真实性;如其他媒体、网站或个人从本网站转载使用,须保留本网站注明的“来源”,并自负版权等法律责任;作者如果不希望被转载或其它相关事宜,请与我们接洽。
[责任编辑:环球科学]








京公网安备11010502039775号


